Métastase hépatique d’un insulinome
L’insulinome est le plus souvent diagnostiqué au décours d’une symptomatologie clinique d’hypoglycémie organique, plus rarement dans le cadre du bilan d’une néoplasie endocrinienne multiple de type 1 (NEM 1). Le diagnostic biologique repose sur le dosage du C-peptide et de la proinsuline lors d’une glycémie veineuse inférieure à 0,45 g/l au cours d’une épreuve de jeûne ou lors d’une hypoglycémie spontanée. Lorsqu’un dosage spécifique de l’insulinémie est utilisé, une insulinémie inférieure à la valeur seuil classique de 3 mUI/L ne permet pas d’éliminer le diagnostic. En revanche, pour ce niveau de glycémie, un C-peptide plasmatique supérieur à 0,6 ng/ml (200 pM) et une proinsulinémie supérieure à 5 pmol/l permettent d’affirmer le diagnostic d’insulinome. Par ailleurs, lors d’une glycémie entre 0,45 et 0,60 g/l, au cours de l’épreuve de jeûne, un béta-hydroxybutyrate plasmatique supérieur à 2700 µmol/L permet d’éliminer le diagnostic d’insulinome.
Le diagnostic topographique des insulinomes est classiquement difficile en raison de leur petite taille. L’apparition de scanners hélicoïdaux haute définition permet cependant aujourd’hui de localiser l’insulinome dans la majorité des cas. Le scanner permet par ailleurs de préciser les relations de l’insulinome avec les structures adjacentes. Si le scanner est pris en défaut, l’échoendoscopie dans des mains entraînées a non seulement une excellente performance diagnostique mais permet également la réalisation de biopsies des lésions visualisées. La scintigraphie à l’Octréoscan ® n’a que peu d’intérêt dans le diagnostic topographique des insulinomes.
Le traitement des insulinomes est chirurgical. Lorsqu’elle est techniquement envisageable et en l’absence de signes de malignité, l’énucléation de la lésion est le traitement de choix des insulinomes sporadiques. Chez les patients avec une NEM 1, les indications chirurgicales sont encore mal codifiées en raison de la multiplicité des lésions. La pancréatectomie totale ne doit plus être réalisée. Des chirurgies pancréatiques localisées itératives semblent être aujourd’hui le traitement à proposer chez ces patients.
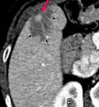
Une stéatose focalisée périlésionnelle est classiquement retrouvée dans les métastases hépatiques des insulinomes malins (1-4). Cette stéatose pourrait être secondaire à l’élévation de l’insulinémie qui, lorsqu’elle est prolongée, inhibe l’oxydation des acides gras libres et stimule leur estérification en triglycérides. Ces derniers s’accumulent alors dans les hépatocytes et génèrent ainsi une stéatose. Plus rarement a été décrite la possibilité d’une stéatose pancréatique périlésionnelle dans les insulinomes (2, 5). Le mécanisme physiopathologique de cette stéatose pancréatique est probablement le même qu’au niveau hépatique. La possibilité d’une ischémie péritumorale potentiellement responsable de modifications de la composition en graisse du tissu sain péritumoral ne peut cependant être exclue (5). Des lésions de stéatose péri lésionnelle ont également été décrites dans des glucagonomes (4). Une élévation prolongée du glucagon pourrait être responsable d’une augmentation de la lipolyse dans les hépatocytes avec apparition d’une stéatose périlésionnelle. En conclusion, la mise en évidence d’une stéatose périlésionnelle hépatique ou pancréatique pourrait faire évoquer le diagnostic d’insulinome ou plus rarement de glucagonome.
|
|
Insulinome (Flèche rouge) Stéatose (flèches noires)
|
Références :
1. Sohn J, Siegelman E, Osiason A. 2001; Unusual patterns of hepatic steatosis caused by the local effect of insulin revealed on chemical shift MR imaging. AJR Am J Roentgenol. 176:471-474
2. Atwell TD, Lloyd RV, Nagorney DM, Fidler JL, Andrews JC, Reading CC. 2008; Peritumoral steatosis associated with insulinomas: appearance at imaging. Abdom Imaging 33:571-574
3. Sumiyoshi S, Kobayashi Y, Souda K, Takehara Y, Nakamura H. 2005; Images of interest. Hepatobiliary and pancreatic: Insulinoma metastases with focal hepatic steatosis. Journal of gastroenterology and hepatology 20:650
4. Fregeville A, Couvelard A, Paradis V, Vilgrain V, Warshauer DM. 2005; Metastatic insulinoma and glucagonoma from the pancreas responsible for specific peritumoral patterns of hepatic steatosis secondary to local effects of insulin and glucagon on hepatocytes.Gastroenterology 129:1150,1365
5. Eriguchi N, Aoyagi S, Hara M, Imayama H, Okuda K, Hashino K, Kanazawa N, Tamae T, Fukuda S, Jimi A. 2000; Insulinoma occurring in association with fatty replacement of unknown etiology in the pancreas: report of a case. Surgery today 30:937-941

