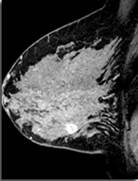
IRM préopératoire dans le cancer du sein : un bilan globalement positif
Afin d'éviter la multiplication des interventions chez les patientes atteintes d'un cancer du sein primitif (CSP), une évaluation préthérapeutique bilatérale est nécessaire. Comparée à la mammographie (MG) et à l'échographie (EG), l'imagerie par résonnance magnétique (IRM) permet de réaliser un bilan d'extension plus précis et de détecter les microlésions carcinomateuses occultes dans le sein homo- et contro-latéral. De plus, elle autorise une meilleure gradation (« staging ») locale par rapport à la MG et à l'EG. Cependant, l'intérêt de l'IRM pré-opératoire (IRMPO) est actuellement débattu. En effet, les résultats de l'IRMPO peuvent modifier le schéma thérapeutique, et ces modifications ne sont pas toujours dans l'intérêt des patientes, l'exemple type étant celui des interventions (biopsies) inutiles sur des tumeurs bénignes.
Voici les résultats d'une étude récente dont l'objectif était d'évaluer le rapport bénéfice/risque de l'IRMPO dans le CSP. Elle a inclus 119 patientes ayant bénéficié d'une IRMPO bilatérale des seins entre juillet 2005 et août 2008 dans le cadre de la gradation d'un CSP. Les modifications de la prise en charge liées aux résultats de l'IRMPO ont été notées. Les lésions détectées par IRM ont été confrontées aux résultats histologiques. Les lésions supplémentaires malignes détectées par IRM et les biopsies complémentaires épargnées grâce aux résultats (négatifs) de l'IRM ont été considérées comme des résultats positifs (bénéfice). Par contre, les biopsies des tumeurs bénignes détectées par l'IRM ont été considérées comme des résultats négatifs (risque).
Au total, les résultats des IRMPO ont modifié la prise en charge thérapeutique chez 48 des 119 patientes (40,3 %). Parmi celle-ci, 17 devant avoir un traitement conservateur ont eu une mastectomie, 8 ont eu une excision étendue, 21 lésions supplémentaires ont été clarifiées par les résultats de l'IRM et 2 lésions détectées par l'EG n'ont pas été biopsiées grâce aux résultats négatifs de l'IRM. Des biopsies additionnelles ou étendues qui se sont révélées malignes histologiquement (n = 34) ont été réalisées en fonction des données de l'IRMPO tandis que deux biopsies prévues ont été récusées. L'examen a donc été bénéfique chez 36 patientes (30,3 %). Par contre, 12 patientes (10,1 %) ont eu des biopsies supplémentaires « inutiles » du fait de la détection de lésions (finalement bénignes) à l'IRMPO.
Si l'on considère uniquement l'aspect statistique (30,3 % de résultats positifs versus 10,1 % de résultats négatifs), l'apport de l'IRM préopératoire dans la prise en charge du cancer du sein primitif paraît favorable. De plus, d'un point de vue clinique, le risque de biopsie blanche « inutile » est largement contrebalancé par celui de passer à côté d'une tumeur maligne non détectée par les autres examens morphologiques. Cependant, ces résultats préliminaires doivent être confirmés par des essais cliniques randomisés, sur de larges populations et sur des périodes de suivi plus longues afin d'identifier les profils de patientes pour qui l'IRM préopératoire serait bénéfique à court et éventuellement à long terme (récidives).
Reference: Siegmann KC. et coll.: Risk-benefit analysis of preoperative breast MRI in patients with primary breast cancer. Clinical Radiology 2009; 64 (4) : 403-413.
