Calculs biliaires
La vésicule biliaire est un organe de l'appareil digestif,en forme de poire, emmagasine la bile jusqu'à ce que le corps l'utilise pour faciliter la digestion. ayant pour fonction de stocker et de concentrer la bile produite par le foie, avant de la déverser dans les intestins au moment de la digestion. Accolée au foie, Pas très gros, cet organe peut être la source de divers maux. Plus souvent bénins, ces derniers ne nécessitent pas d'intervention chirurgicale. Toutefois, chez certains patients, l'ablation de la vésicule biliaire est nécessaire.
-
Causes des troubles de la vésicule biliaire
Composée de mucus, de pigments et de sels biliaires, de cholestérol et de sels minéraux, principalement du calcium, la bile favorise la digestion des graisses. Fluide, de couleur jaune verdâtre, elle est produite en continu par le foie, à raison de 500 à 750 millilitres par jour. La vésicule biliaire lui sert de réservoir. Or, il arrive que cette dernière se dérègle et retienne la bile. La personne atteinte de troubles de la vésicule biliaire peut alors développer plusieurs problèmes allant du vomissement de ce liquide au goût infect, jusqu'au cancer, en passant par la formation de calculs biliaires et le développement d'ictères, communément appelés jaunisses.
Il est fréquent de retrouver des calculs dans la vésicule biliaire. Les calculs sont des masses semblables à des cristaux qui se forment notamment lorsque la bile contient une trop grande proportion de cholestérol, de sels biliaires ou de bilirubine, le pigment présent dans la bile. Néanmoins, le nombre, la taille et la forme des calculs peuvent varier. Un rétrécissement (constriction) des voies biliaires peut provoquer une obstruction ou un ralentissement du flux biliaire. Des infections bactériennes peuvent se développer en cas de ralentissement ou d’obstruction du flux biliaire.
Toutefois, les calculs peuvent aussi entraîner des crises douloureuses. En effet, ils peuvent obstruer les conduits amenant la bile de la vésicule vers le foie. Comme la vésicule ne peut plus se vider, elle gonfle et provoque des douleurs qui peuvent être violentes. Dans ce cas, des médicaments sont généralement prescrits pour soulager les symptômes et une opération peut être envisagée.
Les facteurs de risque pouvant mener à la formation de pierres à la vésicule sont les suivants :
- le sexe – les femmes entre 20 et 60 ans sont deux fois plus susceptibles que les hommes de présenter des calculs de la vésicule biliaire;
- l'âge – les personnes de plus de 40 ans;
- les œstrogènes – les femmes enceintes ou celles qui reçoivent un traitement hormonal de substitution;
- l'obésité – une étude clinique d'envergure a montré que même un embonpoint modéré accroît les risques de formation calculs de la vésicule;
- l'origine ethnique
- le diabète – les personnes qui souffrent de diabète présentent des risques accrus de calculs de la vésicule biliaire;
- une perte de poids rapide – le foie sécrète alors une quantité accrue de cholestérol dans la bile;
- un jeûne – le jeûne inhibe la capacité de la vésicule biliaire à se contracter, ce qui accroît la concentration du cholestérol dans la bile;
- le régime alimentaire – un régime à teneur élevée en gras et en sucre, associé à un mode de vie sédentaire augmente le risque de calculs biliaires;
- l’utilisation de certains médicaments
-
Examen(s)
Pour diagnostiquer un calcul biliaire, certaines analyses sont nécessaires :
- une prise de sang pour la recherche de signes de dysfonctionnement hépatique ;
- une échographie abdominale.
D’autres examens peuvent être réalisés :
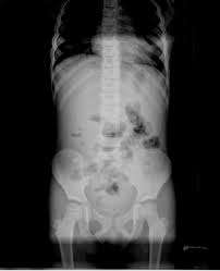
- un scanner 
- une radiographie de l’abdomen.
-
Conseil(s) de prévention
Pour éviter l’apparition de calculs biliaire, il est nécessaire d’adopter des habitudes de vie plus saines :
- éviter certains types de gras (huiles végétales hydrogénées comme la margarine) et privilégier d’autres sources (les gras polyinsaturés et les monoinsaturés comme les huiles végétales, les noix et les graines) ;
- réduire la consommation de glucides dont l’indice glycémique est trop élevé ;
- avoir une alimentation riche en fibres ;
- pratiquer une activité physique pendant 30 minutes par jour.
