sante-dz - Guide de la santé en Algérie - Profitez pleinement de la médiathèque: parlons santé!

Conseils


  • L’andropause
    • Article

    Fatigue, diminution de la libido, perte de masse musculaire et osseuse peuvent être les symptômes de l’andropause, cette période au cours de laquelle la sécrétion de testostérone diminue chez l’homme....

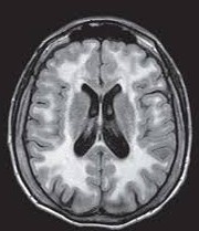
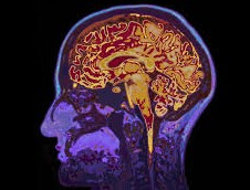
  • Une leucoencéphalopathie
    • Article

    Une leucoencéphalopathie, ou leucopathie, désigne l’altération de la substance blanche cérébrale. Chez l’adulte, les leucopathies chroniques sont majoritairement secondaires à des maladies acquises à...

  •  Maux de tête  quand sinquiéter ?
    • Article

    Les céphalées sont un problème très courant. Il existe plusieurs types de céphalées, les céphalées de tension étant les plus fréquentes. Bien qu’en général bénignes, les céphalées peuvent être le symp...

  • Abcès mammaire
    • Article

    Survenant en cours d'allaitement, l'abcès du sein est la conséquence d'une infection cutanée. Il nécessite, en complément de soins locaux, un traitement médical, voire chirurgical.

  • Paludisme (Malaria)
    • Article

    Le paludisme est une infection parasitaire qui est transmise aux personnes par la piqûre d’un moustique femelle Anopheles. Les parasites monocellulaires appartiennent au genre Plasmodium. Quatre paras...

  • Comprendre la cervicalgie
    • Article

    Les cervicalgies sont des douleurs vives siégeant au niveau du cou, disparaissant le plus souvent en quelques jours ou semaines. Elles sont souvent dues à une mauvaise posture, de l'arthrose ou un tra...

  • Infections à Escherichia coli
    • Article

    Les symptômes des infections à Escherichia Coli se manifestent le plus souvent par des gastro-entérites et des infections urinaires dans une période de 1 à 10 jours après la contamination.

  • Mieux dormir quand il fait chaud
    • Article

    En période de canicule, il vous devient rapidement impossible de dormir. La chaleur, lourde et étouffante, vous empêche de trouver le sommeil et perturbe vos nuits d'été. Comment faire pour se rafraî...

Nous utilisons des cookies pour vous garantir la meilleure expérience sur notre site, mais nous ne sauvegardons pas de données personnelles. Continuer.